Cirugía ortognática para Clase III
La Clase III es una malformación que se da en los huesos maxilares y provoca que la mandíbula esté adelantada respecto al maxilar superior, por tanto, los dientes de ambas arcadas…
La Clase III es una malformación que se da en los huesos maxilares y provoca que la mandíbula esté adelantada respecto al maxilar superior, por tanto, los dientes de ambas arcadas…
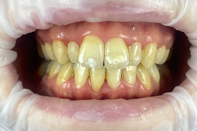
Las lesiones de mancha blanca son alteraciones de la superficie del esmalte, y constituyen una de las alteraciones que con más frecuencia producen una afectación estética de los dientes. Una…
Nuestra paciente acude a nuestra consulta buscando mejorar su sonrisa y reponer las piezas que tiene ausentes. La Dra Elena Granado después de realizar la historia clínica, radiografías, escáner…
Nuestra paciente acude a la consulta buscando una solución para su asimetría facial y su Clase III. Dada la gravedad de la maloclusión , no es posible tratar solo…
El Dr. Ramón Susín nos presenta este caso de una rehabilitación adhesiva mínimamente invasiva hecha totalmente a través del flujo digital, desde su programación hasta su colocación en boca. La…
Paciente de 39 años de edad, que acude a la consulta porque no le gusta su sonrisa y quiere mejorar estéticamente. Después de estudiar el caso se realiza una alargamiento…
Paciente de 56 años de edad que acude a la consulta para arreglarse la boca. Tiene mucho desgaste dental además de varias ausencias dentales. La Dra. Elena Granado decidió hacer…
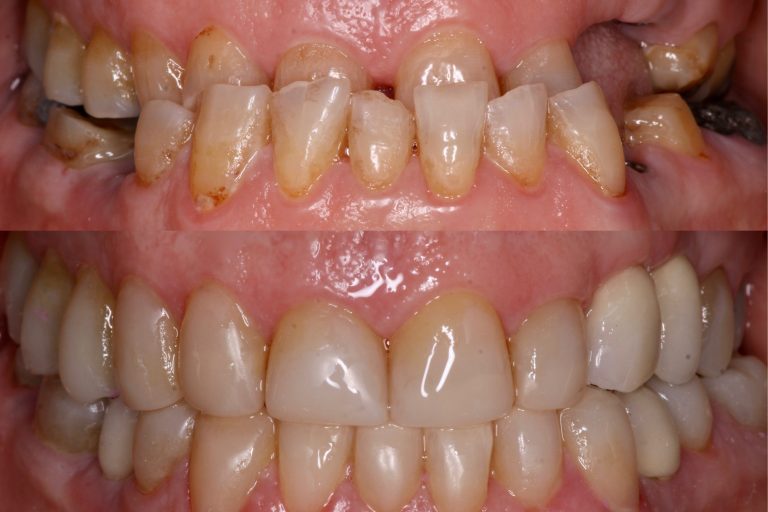
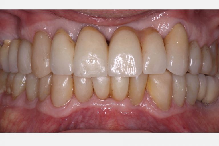
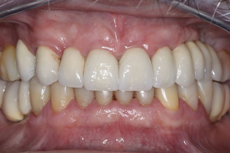
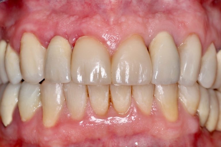
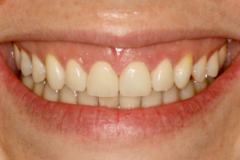
Paciente de 56 años con grandes destrucciones dentarías y ausencia de piezas. El Dr. Ramón Susín realizó un tratamiento completo en diferentes fases: En primer lugar se colocaron implantes en…
Paciente de 42 años con grandes desgastes palatinos de tipo químico y fracturas de bordes incisales, propias del bruxismo. El Dr. Ramón Susín comenzó haciendo un estudio estético inicial con…
El Paciente de 58 años de edad acude a la clínica con grandes desgastes dentales. Se decide hacer un tratamiento rehabilitador adhesivo. Se pone en marcha el protocolo, empezando por…
La Paciente acude a la consulta porque quiere mejorar su sonrisa. No quiere hacerse ortodoncia y por motivos económicos se decide hacer carillas de composite. En la primera cita se…
Paciente de 48 años acude a la consulta con grandes desgastes dentales. Realizamos un análisis exhaustivo de la saliva y de los hábitos alimenticios antes de realizar el tratamiento. Para…
Paciente de 53 años con grandes erosiones químicas y desgastes mecánicos que se somete a rehabilitación adhesiva con composite. Realizamos encerados diagnósticos y lo trasladamos con composite a las piezas…
Paciente de 54 años de edad con grandes abrasiones dentales acude para rehabilitarse la boca. Se realizan encerados diagnósticos, estudio fotográfico y análisis de la saliva, la cual es de…
Paciente de 33 años de edad que acude a la consulta descontenta con su estética dental y con inestabilidad oclusal debido a la colocación de coronas en incisivos superiores y…
Javier acude a nuestra consulta para mejorar sus problemas de estética facial y dental y mejorar su oclusión. El paciente tiene ausencia del canino superior izquierdo que se encuentra incluido…
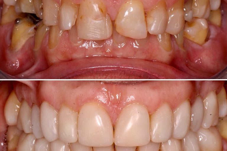
Paciente de 79 años acude a la consulta con gran destrucción dentaría y es portador de prótesis fija en zonas posteriores. Debido a la complejidad de remover todas sus prótesis…
Diego es un paciente de 25 años que acude a nuestra consulta para buscar solución a su problema dental y facial. No le gusta su estética facial ,su mandíbula prominente…
Paciente de 73 años que acude con mordida en tijera anterior y gran destrucción de piezas dentarías y ausencia de varias de las mismas. Se procede a una rehabilitación mínimamente…
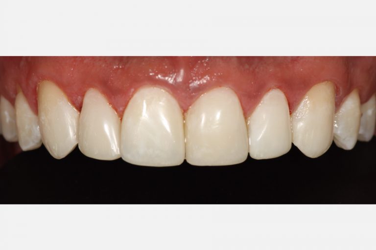
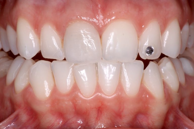
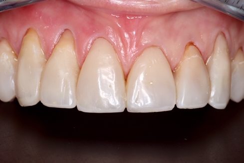
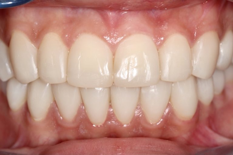
Paciente de 28 años que acude a la consulta por motivos estéticos, no le gusta la corona que lleva en el incisivo central derecho y además quiere blanquearse los dientes.…
Para ir acercándonos a las vacaciones de Agosto os traemos un caso en el que un paciente de 51 años se realizó un tratamiento de estética dental. Para comenzar se…
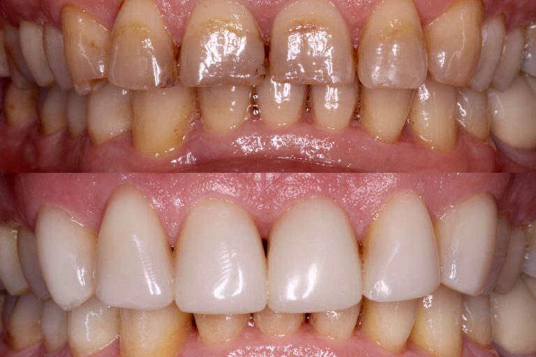
Paciente de 54 años de edad acude con grandes abrasiones dentales que son una combinación de bruxismo y una dieta rica en ácidos. En primer lugar se realizó un blanqueamiento…
Paciente de 78 años acude a la consulta con gran destrucción dentaría por atricción y erosión, desajuste de coronas antiguas y pérdida de dimensión vertical y función masticatoria. Se realizó…
Paciente de 51 años acudió a la consulta con policaries generalizada de todas las piezas. Se planificó un tratamiento rehabilitador completo con implantes. Se colocaron 7 implantes superiores y 6…
Paciente de 28 años se sometió a tratamiento de estética dental con un blanqueamiento externo y posteriormente con carillas de composite. Se usaron técnicas mínimamente invasivas. Sólo se necesitan dos…

Para ofrecer las mejores experiencias, utilizamos tecnologías como las cookies para almacenar y/o acceder a la información del dispositivo. El consentimiento de estas tecnologías nos permitirá procesar datos como el comportamiento de navegación o las identificaciones únicas en este sitio.