Rehabilitación Adhesiva Avanzada

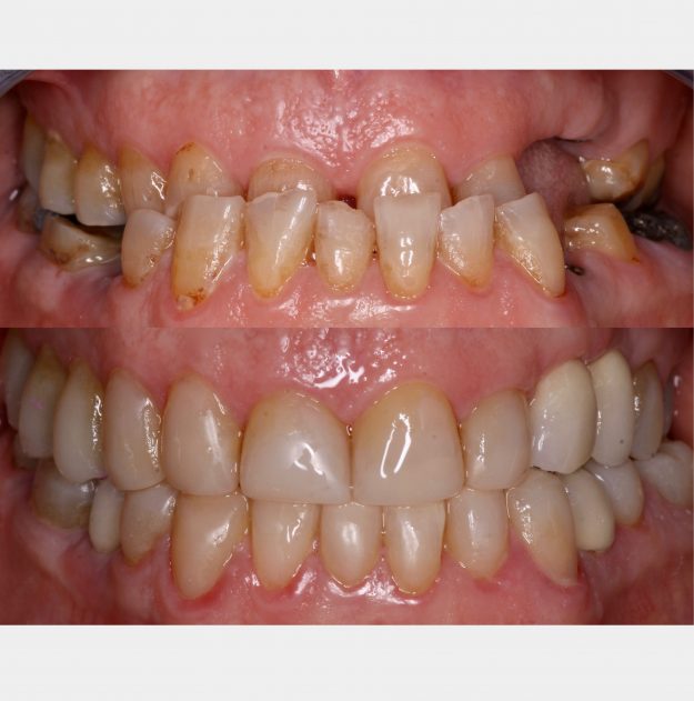
Paciente de 73 años que acude con mordida en tijera anterior y gran destrucción de piezas dentarías y ausencia de varias de las mismas. Se procede a una rehabilitación mínimamente invasiva con composite de manera adhesiva, donde las piezas restantes prácticamente no necesitan tratamiento y nos asegura reversibilidad si hubiera algún problema en el futuro.…