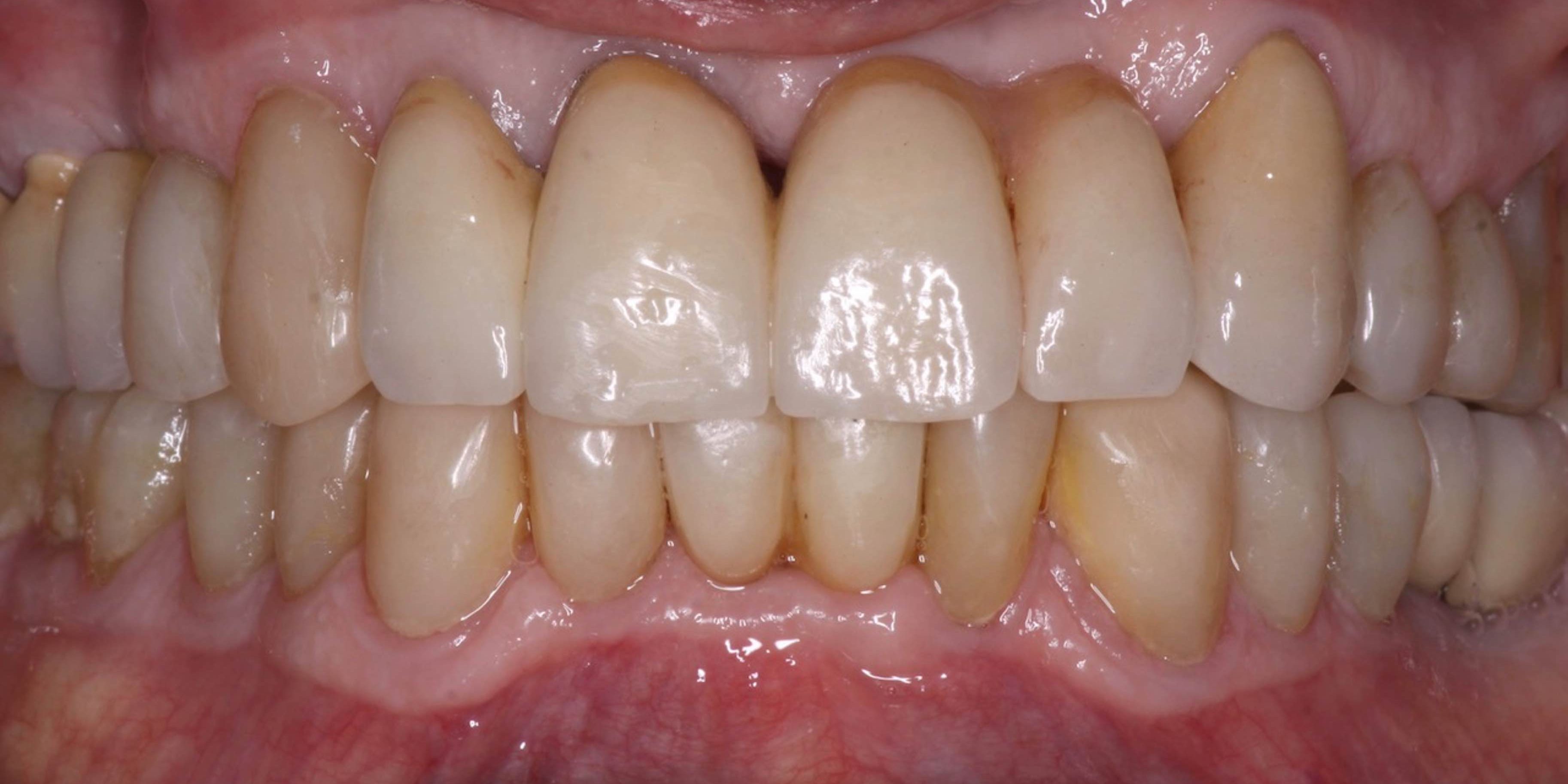
Paciente de 78 años acude a la consulta con gran destrucción dentaría por atricción y erosión, desajuste de coronas antiguas y pérdida de dimensión vertical y función masticatoria. Se realizó un tratamiento mínimamente invasivo mediante restauraciones de composite en las piezas naturales restantes. Se cambiaron las prótesis antiguas y se recuperó la función y estética dental. Al tratarse de un paciente bruxista al terminar el tratamiento se le colocó una férula de uso nocturno de protección. El tratamiento fue realizado por el Dr.Susín.
- Sonrisa inicial
- Sonrisa final
- Intraoral inicial
- Intraoral final
- Oclusal inicial
- Oclusal final
- Oclusal inicial
- Oclusal final











