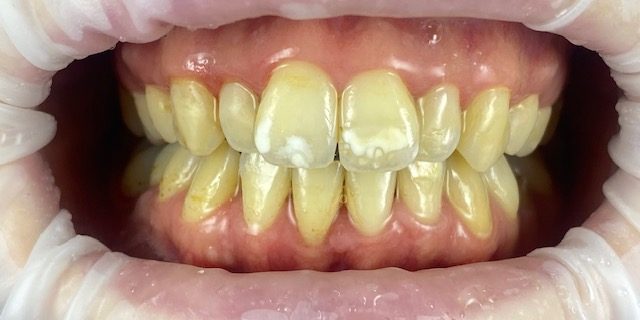
Las lesiones de mancha blanca son alteraciones de la superficie del esmalte, y constituyen una de las alteraciones que con más frecuencia producen una afectación estética de los dientes.
Una alternativa mínimamente invasiva para el tratamiento estético de estas lesiones es la infiltración de resina ICON , que presenta un índice de refracción similar al del esmalte sano y puede asimismo igualar la diferencia de la refracción de la luz.
El procedimiento es indoloro, no se daña el diente y conseguimos un resultado espectacular, como en este caso de la Doctora Granado.

INICIO

FINAL



