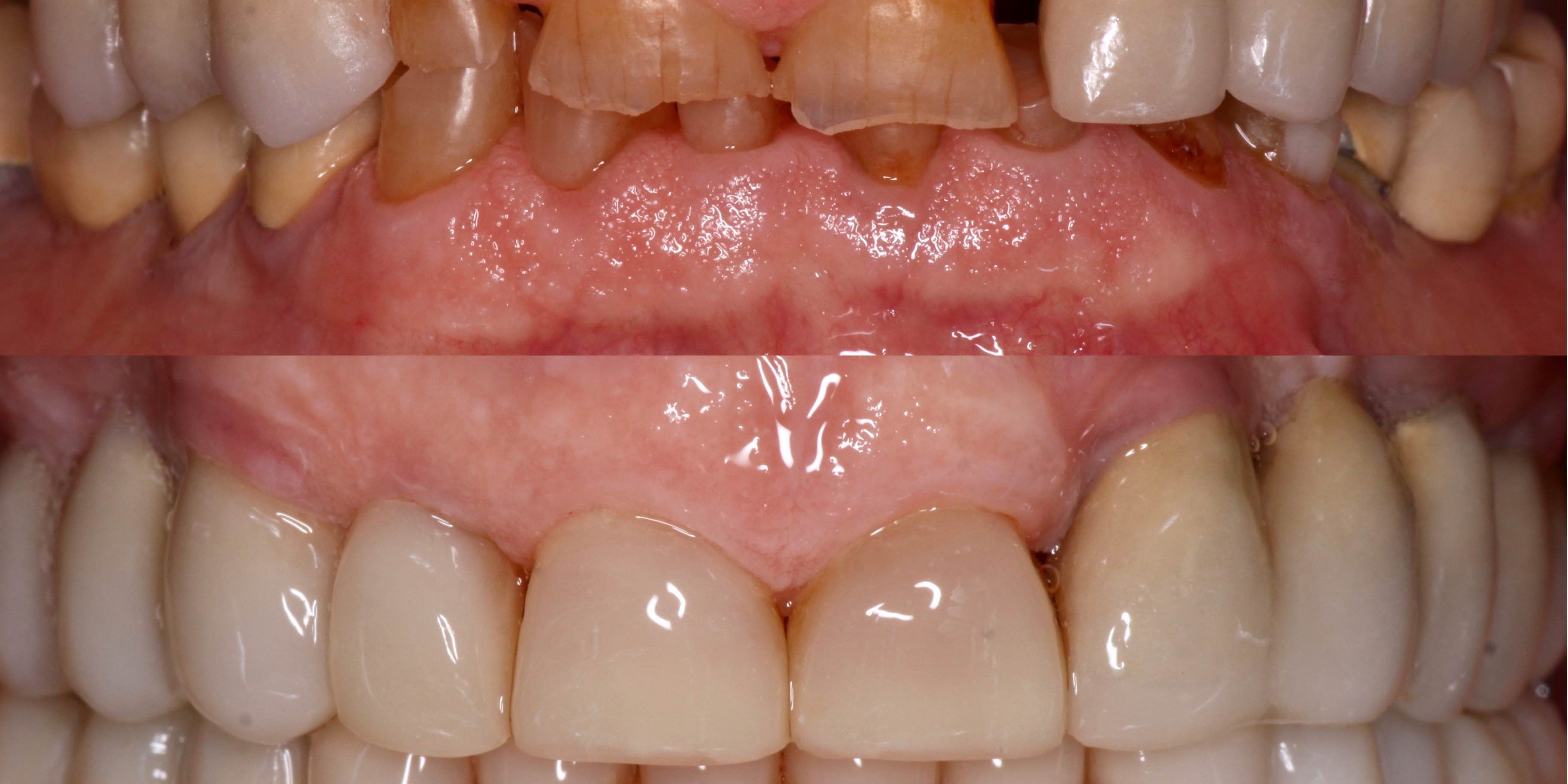
Paciente de 79 años acude a la consulta con gran destrucción dentaría y es portador de prótesis fija en zonas posteriores. Debido a la complejidad de remover todas sus prótesis a su edad y no dañar los pilares dentales se optó por hacer una rehabilitación mínimamente invasiva con composite. Los puentes suyos se mantuvieron en boca al comprobar que estaban en buen estado y se realizó un recubrimiento con composite de los mismos y de sus piezas naturales con destrucciones según las exigencias estéticas y funcionales, así como la colocación de implantes en zonas de ausencias dentales. el tratamiento tuvo unos 4 meses de duración. Posteriormente se colocó una férula de bruxismo de protección. El caso lo realizó conjuntamnte el Dr.Susín (parte rehabilitadora protésica y restauradora adhesiva) con el Dr.Plaza (colocación de los implantes)
- Inicial Reposo
- Final Reposo
- Inicial Sonrisa
- Final Sonrisa
- Intraoral Inicial
- Intraoral Final
- Intraoral Final
- Oclusal Final
- Oclusal Final
- Oclusal Inicial
- Oclusal Final















