Blanqueamiento Externo y Corona EMAX

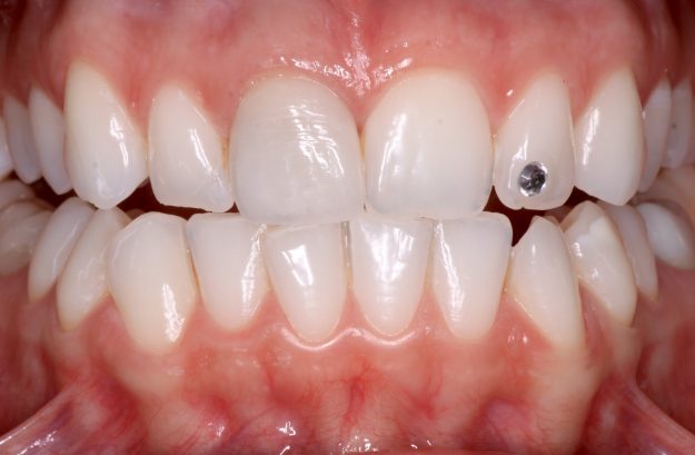
Paciente de 28 años que acude a la consulta por motivos estéticos, no le gusta la corona que lleva en el incisivo central derecho y además quiere blanquearse los dientes. Primero hacemos el blanqueamiento de manera ambulatoria (en casa) con peróxido de carbamida al 16% durante unos 15-20 días. Siempre en estos casos para disminuir…