Rehabilitación integral
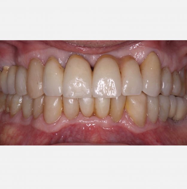
Paciente de 78 años acude a la consulta con gran destrucción dentaría por atricción y erosión, desajuste de coronas antiguas y pérdida de dimensión vertical y función masticatoria. Se realizó un tratamiento mínimamente invasivo mediante restauraciones de composite en las piezas naturales restantes. Se cambiaron las prótesis antiguas y se recuperó la función y estética…




