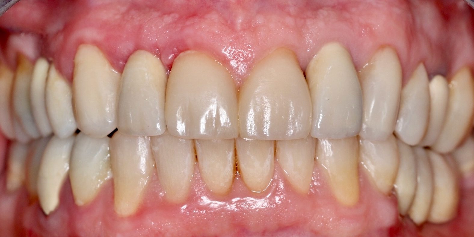
Paciente de 56 años de edad que acude a la consulta para arreglarse la boca.
Tiene mucho desgaste dental además de varias ausencias dentales.
La Dra. Elena Granado decidió hacer una rehabilitación total con técnica adhesiva en las piezas remanentes y con implantes en las piezas ausentes.
Al terminar el caso se coloca una férula para proteger la rehabilitación.
- Inicial Sonrisa
- Final Sonrisa
- Inicial Intraoral
- Final Intraoral
- Inicial Oclusal Superior
- Final Oclusal Superior
- Inicial Oclusal Inferior
- Final Oclusal Inferior











