El Paciente de 58 años de edad acude a la clínica con grandes desgastes dentales. Se decide hacer un tratamiento rehabilitador adhesivo.
Se pone en marcha el protocolo, empezando por el estudio salivar, hábitos alimenticios, estudio de apnea del sueño, evaluación de algún problema digestivo; para continuar con fotos y modelos para estudio y programación del caso.
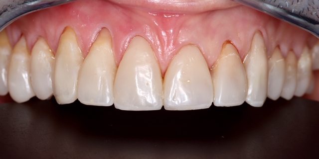
Después se añade la restauración de composite sobre los dientes devolviéndoles una forma y tamaño adecuados, de una manera mínimamente invasiva.
Este caso lo realizó la Dra. Elena Granado
- Sonrisa Inicial
- Sonrisa Final
- Intraoral Inicial
- Intraoral Final
- Oclusal Inicial Superior
- Incisal Final
- Oclusal Inferior Inicial
- Oclusal Final Inferior











