Caso Ortodoncia

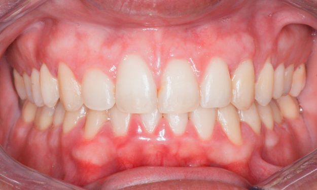
Javier acude a nuestra consulta para mejorar sus problemas de estética facial y dental y mejorar su oclusión. El paciente tiene ausencia del canino superior izquierdo que se encuentra incluido en el paladar  y como consecuencia todas las piezas dentales se han desplazado hacia ese espacio. Además presenta una sobremordida aumentada y la oclusión no…