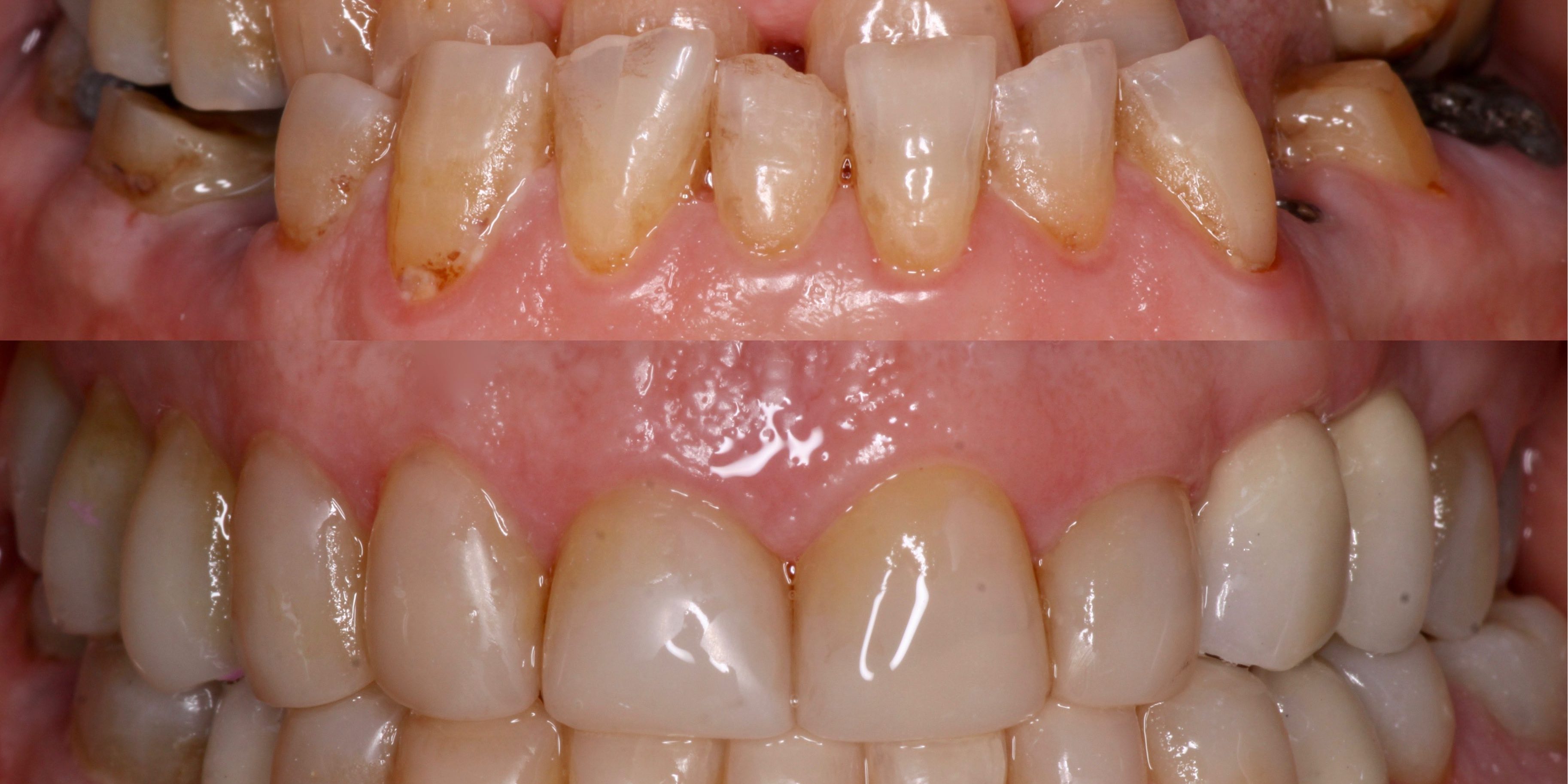
Paciente de 73 años que acude con mordida en tijera anterior y gran destrucción de piezas dentarías y ausencia de varias de las mismas. Se procede a una rehabilitación mínimamente invasiva con composite de manera adhesiva, donde las piezas restantes prácticamente no necesitan tratamiento y nos asegura reversibilidad si hubiera algún problema en el futuro. Como se puede observar, solo aumentando la dimensión vertical es posible corregir en algunos casos grandes maloclusiones. Para la sustitución de las piezas ausentes se procedió a la colocación de implantes dentales endoóseos sobre los que se pusieron coronas cerámicas. El tratamiento fue realizado por el Dr. Ramón Susín (rehabilitación adhesiva y protésica) y el Dr. Plaza (colocación de los implantes) .
- Inicial Intraoral
- Final Intraoral
- Inicial Oclusal Superior
- Final Oclusal Superior
- Inicial Oclusal Inferior
- Final Oclusal Inferior
- Inicial Reposo
- Final Reposo
- Inicial Sonrisa
- Final Sonrisa
- Inicial Inicio de sonrisa
- Final Inicio de la sonrisa
- Final intraoral
















