Saltar al contenido
Telesforo Peromarta nº3, local 50004 Zaragoza+34 976 21 46 20 | Fax: +34 976 21 61 85administracion@policlinicabucodental.es | gerencia@policlinicabucodental.es
Pide Cita
Policlínica Bucodental
Tu Clínica Dental de confianza en Zaragoza
Policlínica BucodentalPoliclínica Bucodental
  • Inicio
  • Quiénes somos
  • Instalaciones
  • Servicios
  • Casos
  • Noticias
  • Contacto
  • Inicio
  • Quiénes somos
  • Instalaciones
  • Servicios
  • Casos
  • Noticias
  • Contacto

Archivos diarios: 8 febrero, 2020

Estás aquí:
  1. Inicio
  2. 2020
  3. febrero
  4. 08

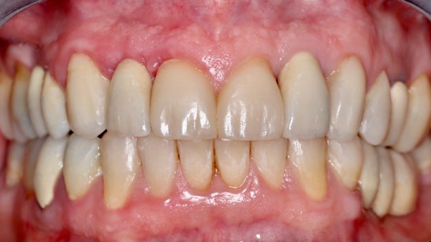
Rehabilitación completa adhesiva y con implantes

CasosPor Policlinica Bucodental8 febrero, 2020

Paciente de 56 años de edad que acude a la consulta para arreglarse la boca. Tiene mucho desgaste dental además de varias ausencias dentales. La Dra. Elena Granado decidió hacer una rehabilitación total con técnica adhesiva en las piezas remanentes y con implantes en las piezas ausentes. Al terminar el caso se coloca una férula…

Policlínica Bucodental © | 2023

Aviso Legal y Política de privacidad | Política de Cookies

Ir a Tienda
Policlínica Bucodental
Gestor de consentimiento de cookies

Para ofrecer las mejores experiencias, utilizamos tecnologías como las cookies para almacenar y/o acceder a la información del dispositivo. El consentimiento de estas tecnologías nos permitirá procesar datos como el comportamiento de navegación o las identificaciones únicas en este sitio.

Funcional Siempre activo
El almacenamiento o acceso técnico es estrictamente necesario para el propósito legítimo de permitir el uso de un servicio específico explícitamente solicitado por el abonado o usuario, o con el único propósito de llevar a cabo la transmisión de una comunicación a través de una red de comunicaciones electrónicas.
Preferencias
El almacenamiento o acceso técnico es necesario para la finalidad legítima de almacenar preferencias no solicitadas por el abonado o usuario.
Estadísticas
El almacenamiento o acceso técnico que es utilizado exclusivamente con fines estadísticos. El almacenamiento o acceso técnico que se utiliza exclusivamente con fines estadísticos anónimos. Sin un requerimiento, el cumplimiento voluntario por parte de tu proveedor de servicios de Internet, o los registros adicionales de un tercero, la información almacenada o recuperada sólo para este propósito no se puede utilizar para identificarte.
Marketing
El almacenamiento o acceso técnico es necesario para crear perfiles de usuario para enviar publicidad, o para rastrear al usuario en una web o en varias web con fines de marketing similares.
Administrar opciones Gestionar los servicios Gestionar {vendor_count} proveedores Leer más sobre estos propósitos
Ver preferencias
{title} {title} {title}