Saltar al contenido
Telesforo Peromarta nº3, local 50004 Zaragoza+34 976 21 46 20 | Fax: +34 976 21 61 85administracion@policlinicabucodental.es | gerencia@policlinicabucodental.es
Pide Cita
Policlínica Bucodental
Tu Clínica Dental de confianza en Zaragoza
Policlínica BucodentalPoliclínica Bucodental
  • Inicio
  • Quiénes somos
  • Instalaciones
  • Servicios
  • Casos
  • Noticias
  • Contacto
  • Inicio
  • Quiénes somos
  • Instalaciones
  • Servicios
  • Casos
  • Noticias
  • Contacto

Archivos diarios: 15 junio, 2017

Estás aquí:
  1. Inicio
  2. 2017
  3. junio
  4. 15

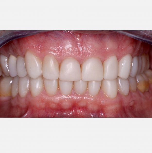
Rehabilitación Adhesiva Mínimamente Invasiva

CasosPor Policlinica Bucodental15 junio, 2017

Paciente de 54 años de edad acude con grandes abrasiones dentales que son una combinación de bruxismo y una dieta rica en ácidos. En primer lugar se realizó un blanqueamiento dental para establecer el color base de las piezas. Posteriormente se realizaron reconstrucciones de composite en todas las piezas dentales sin ni siquiera tallarlas, todo…

Policlínica Bucodental © | 2023

Aviso Legal y Política de privacidad | Política de Cookies

Ir a Tienda
Policlínica Bucodental
Gestor de consentimiento de cookies

Para ofrecer las mejores experiencias, utilizamos tecnologías como las cookies para almacenar y/o acceder a la información del dispositivo. El consentimiento de estas tecnologías nos permitirá procesar datos como el comportamiento de navegación o las identificaciones únicas en este sitio.

Funcional Siempre activo
El almacenamiento o acceso técnico es estrictamente necesario para el propósito legítimo de permitir el uso de un servicio específico explícitamente solicitado por el abonado o usuario, o con el único propósito de llevar a cabo la transmisión de una comunicación a través de una red de comunicaciones electrónicas.
Preferencias
El almacenamiento o acceso técnico es necesario para la finalidad legítima de almacenar preferencias no solicitadas por el abonado o usuario.
Estadísticas
El almacenamiento o acceso técnico que es utilizado exclusivamente con fines estadísticos. El almacenamiento o acceso técnico que se utiliza exclusivamente con fines estadísticos anónimos. Sin un requerimiento, el cumplimiento voluntario por parte de tu proveedor de servicios de Internet, o los registros adicionales de un tercero, la información almacenada o recuperada sólo para este propósito no se puede utilizar para identificarte.
Marketing
El almacenamiento o acceso técnico es necesario para crear perfiles de usuario para enviar publicidad, o para rastrear al usuario en una web o en varias web con fines de marketing similares.
Administrar opciones Gestionar los servicios Gestionar {vendor_count} proveedores Leer más sobre estos propósitos
Ver preferencias
{title} {title} {title}