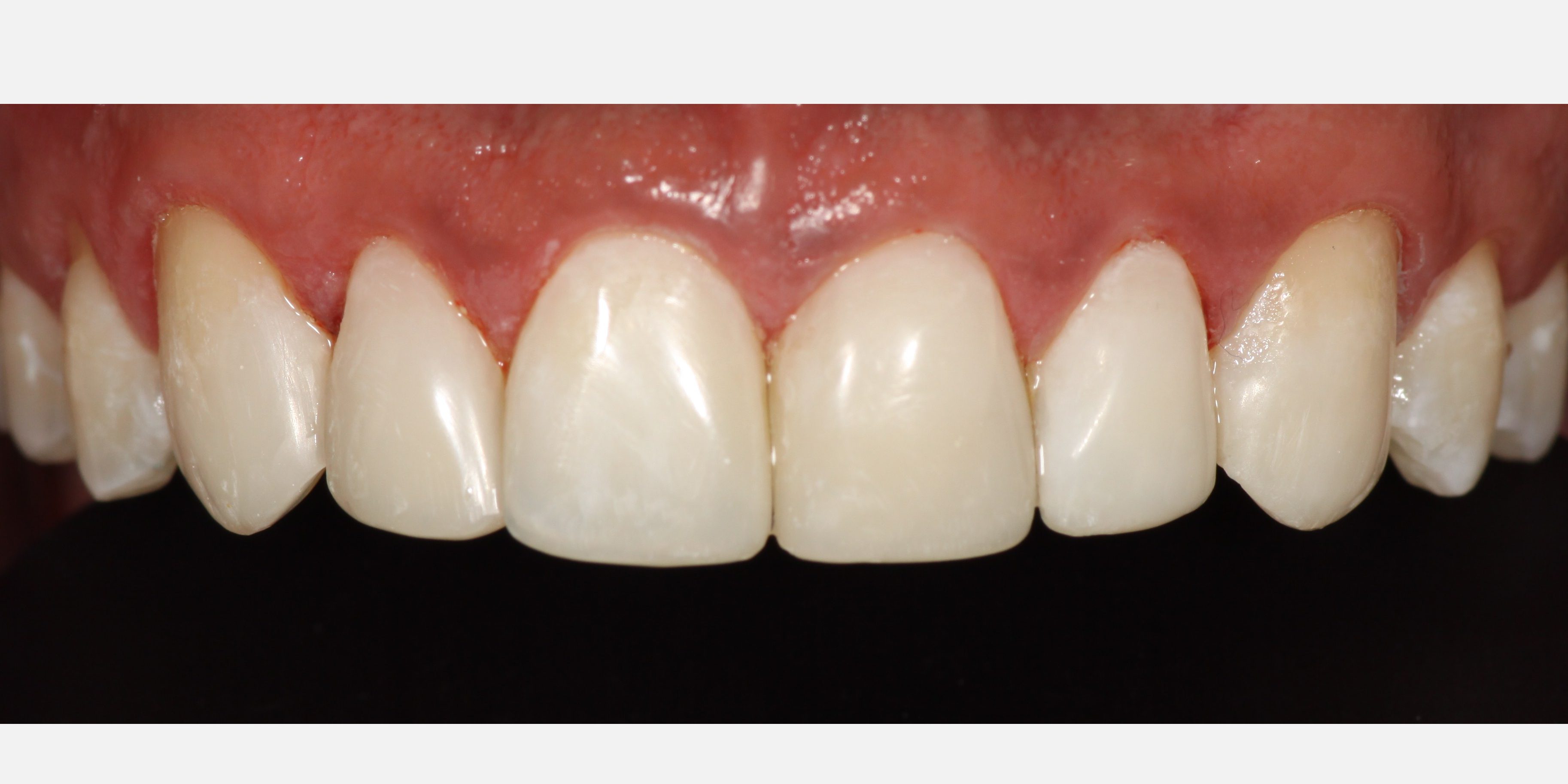
Paciente de 28 años se sometió a tratamiento de estética dental con un blanqueamiento externo y posteriormente con carillas de composite. Se usaron técnicas mínimamente invasivas. Sólo se necesitan dos citas y unas 3 horas de trabajo para este tratamiento, a parte del tiempo que conlleva en casa el blanqueamiento externo (unos 15 días). Este caso fue realizado por el Dr.Susín.
- Estado inicial
- Estado final
- Estado inicial
- Estado final







