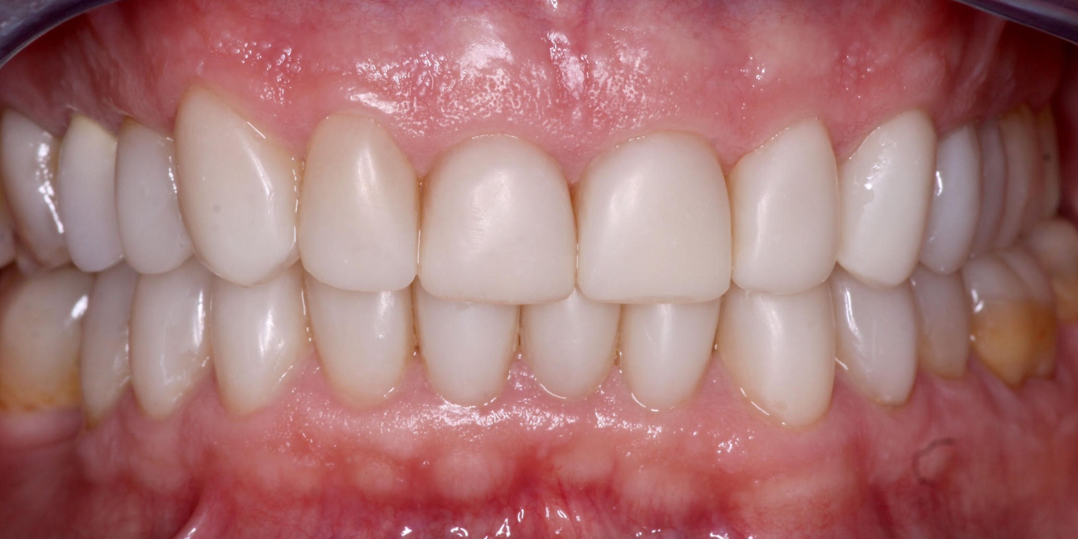
Paciente de 54 años de edad acude con grandes abrasiones dentales que son una combinación de bruxismo y una dieta rica en ácidos. En primer lugar se realizó un blanqueamiento dental para establecer el color base de las piezas. Posteriormente se realizaron reconstrucciones de composite en todas las piezas dentales sin ni siquiera tallarlas, todo mediante técnicas adhesivas mínimamente invasivas. Posteriormente hay que colocar una férula de bruxismo de protección de uso nocturno. El caso lo realizó el Dr. Ramón Susín.
- Sonrisa Inicial
- Sonrisa Final
- Inicial Intraoral
- Final Intraoral
- Inicial Oclusal Superior
- Final Oclusal Superior
- Inicial Oclusal Inferior
- Final Oclusal Inferior











