Javier acude a nuestra consulta para mejorar sus problemas de estética facial y dental y mejorar su oclusión.
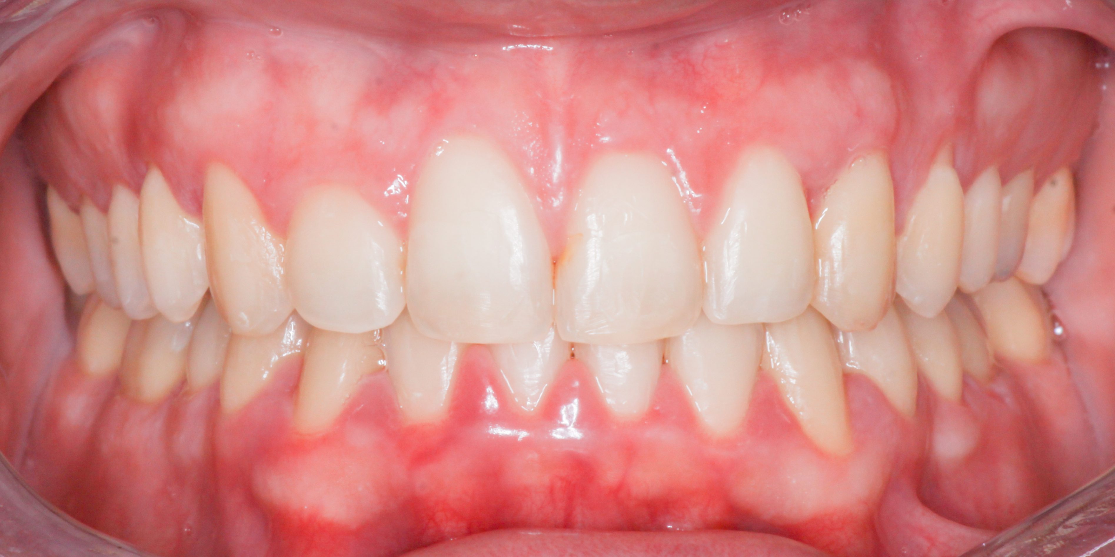
El paciente tiene ausencia del canino superior izquierdo que se encuentra incluido en el paladar y como consecuencia todas las piezas dentales se han desplazado hacia ese espacio.
Además presenta una sobremordida aumentada y la oclusión no es correcta.
Todo ello conlleva una mala estética dental y facial.
Esta maloclusión se corrigió en tan solo 15 meses con brackets metálicos,se llevo el canino a la arcada y así se consiguió cumplir todos los objetivos de nuestro tratamiento.
Este cas lo realizó la Dra. Belén Paniagua.








