Paciente de 54 años de edad con grandes abrasiones dentales acude para rehabilitarse la boca. Se realizan encerados diagnósticos, estudio fotográfico y análisis de la saliva, la cual es de ph ácido.
Mediante llaves de silicona transparente y con composite se realiza la rehabilitación total trasladando los encerados a la boca sin prácticamente tocar los dientes remanentes y sin fundas. El tratamiento dura unas 4 o 5 sesiones de 3 horas aproximadamente. Se puede apreciar la recuperacion de la estética y la anatomía perdidas.
Para terminar se colocó una ferula de bruxismo de uso nocturno de mantenimiento.
Este caso lo realizo el Dr. Susín
- Inicial Extraoral
- Final Extraoral
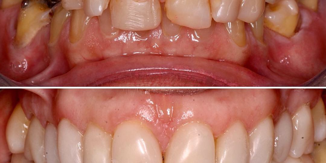
- Inicial Intraoral
- Final Intraoral
- Inicial Oclusal Superior
- Final Oclusal Superior
- Inicial Oclusal Inferior
- Final Oclusal Inferior
- Intraoral Sonrisa












