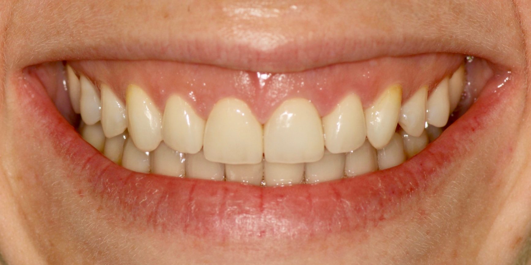
Paciente de 33 años de edad que acude a la consulta descontenta con su estética dental y con inestabilidad oclusal debido a la colocación de coronas en incisivos superiores y en incisivo central inferior izquierdo. Planificamos el caso clínico con ayuda de estudio fotográfico, modelos de estudio y encerado diagnóstico. Realizamos la remoción de las coronas comprobando el estado de los muñones subyacentes y la provisionalización de las mismas. Posteriormente se realizó el alargamiento coronario del incisivo central superior derecho para nivelar planos gingivales. Durante el periodo de cicatrización se fue modificando el provisional para conseguir la función y la estética adecuadas. Se rehabilitaron las guías dentales con composite a nivel de caninos superiores. Como finalización del caso se colocaron las coronas estéticas totalmente cerámicas cementadas con técnica adhesiva. Terminando con la colocación de una férula de bruxismo de uso nocturno.
- Inicial
- Final
- Provisional
- Provisional intraoral
- Inicial Intraoral
- Final intraoral
Este caso fue realizado por el Dr.Martinez









