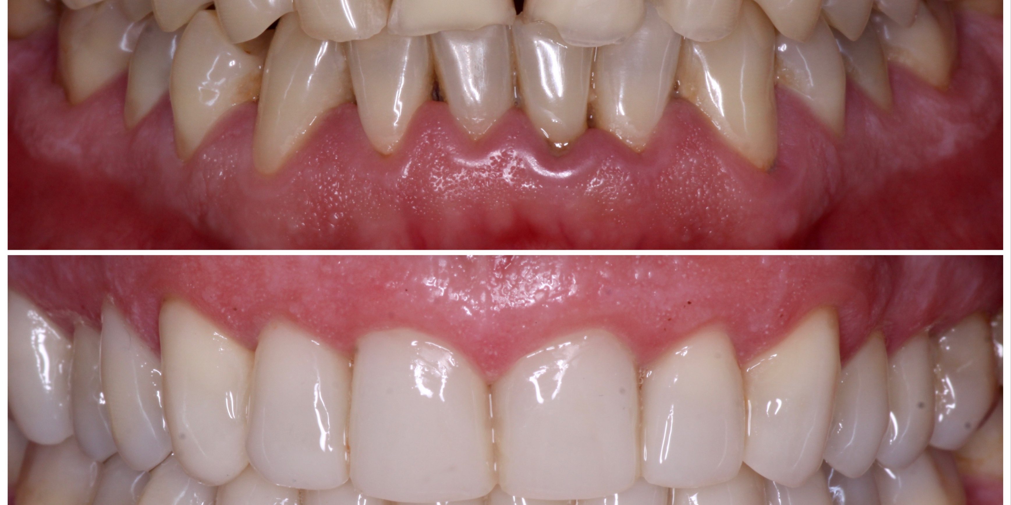
Paciente de 48 años acude a la consulta con grandes desgastes dentales. Realizamos un análisis exhaustivo de la saliva y de los hábitos alimenticios antes de realizar el tratamiento.
Para conseguir un color base inicial correcto hacemos un blanqueamiento dental externo, y posteriormente rehabilitamos todas las piezas con composite, sólo añadiendo en las piezas lo que falta, sin quitar tejido dental sano. El paciente tiene el tratamiento terminado en 3 citas.
Terminamos siempre este tipo de casos con una férula de descarga de uso nocturno.
Este caso lo realizó el Dr. Ramón Susín
- Reposo Inicial
- Reposo Final
- Sonrisa Inicial
- Sonrisa Final
- Intraoral Inicial
- Intraoral Final
- Oclusal Superior Inicial
- Oclusal Superior Final
- Oclusal Inferior Inicial
- Oclusal Inferior Final













