CARILLAS DE COMPOSITE

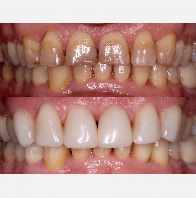
Para ir acercándonos a las vacaciones de Agosto os traemos un caso en el que un paciente de 51 años se realizó un tratamiento de estética dental. Para comenzar se efectuó un blanqueamiento dental con la técnica ambulatoria, en la que el paciente se realiza en su casa durante 15 días el tratamiento. Para terminar,…