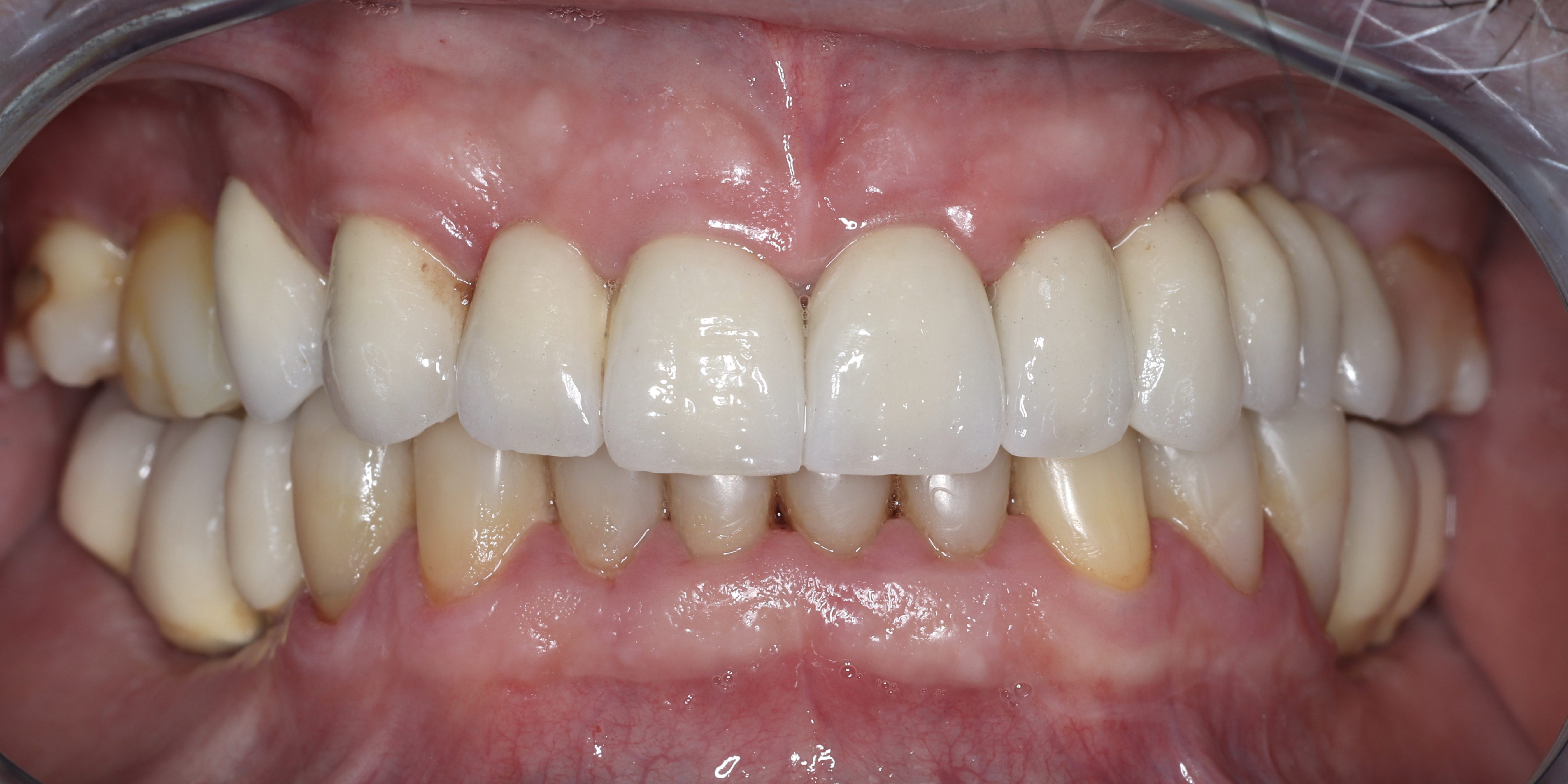
Paciente de 56 años con grandes destrucciones dentarías y ausencia de piezas.
El Dr. Ramón Susín realizó un tratamiento completo en diferentes fases:
En primer lugar se colocaron implantes en las zonas ausentes de piezas dentarías, con apoyo de PRGF (plasma rico en factores de crecimiento).
Posteriormente se realizaron reconstrucciones adhesivas en las piezas remanentes, y en último lugar, una vez integrados los implantes con el hueso se realizaron las prótesis definitivas de todo cambiando las antiguas y haciéndolo todo en cerámica.
Para terminar se colocó una férula de bruxismo de uso nocturno.
La duración del tratamiento fue de unos 5 meses.











