Promosalud: Detección precoz de hipertensión arterial y diabetes
https://policlinicabucodental.es/wp-content/uploads/2024/02/PROMOSALUD-clinicas-dentales_V3-con-musica.mp4
https://policlinicabucodental.es/wp-content/uploads/2024/02/PROMOSALUD-clinicas-dentales_V3-con-musica.mp4
Nuestras Doctoras Milhacea y Boned acudieron al Digital Innovation Summit invitadas por 3 Shape. Unas jornadas de actualización en digitalización y uso de nuestros escáneres intraorales Trios. En Policlinica Bucodental apostamos por la última tecnología y la constante formación de nuestros profesionales.
La Clase III es una malformación que se da en los huesos maxilares y provoca que la mandíbula esté adelantada respecto al maxilar superior, por tanto, los dientes de ambas arcadas (superior e inferior) no coinciden. Cuando esto ocurre la única solución para recuperar la función, oclusión y estética facial y dental es la cirugía ortognática…
Las lesiones de mancha blanca son alteraciones de la superficie del esmalte, y constituyen una de las alteraciones que con más frecuencia producen una afectación estética de los dientes. Una alternativa mínimamente invasiva para el tratamiento estético de estas lesiones es la infiltración de resina ICON , que presenta un índice de refracción similar al…
Durante el mes de Agosto no cerramos para garantizar que nuestros pacientes estén atendidos, pero modificamos nuestro horario. Del 31 de Julio al 25 de Agosto nuestro horario será de 8:00 hrs a 15:00 hrs. ¡ Feliz verano!
En Policlínica Bucodental ya tenemos el novedoso sistema de limpieza de implantes dentales GalvoSurge®, una nueva tecnología que elimina por completo el biofilm de los implantes de titanio infectados con bacterias. El sistema de limpieza de implantes dentales GalvoSurge® cuenta con un modo de acción único que rompe el biofilm con burbujas de hidrógeno, dejando el…
El doctor Sanchez Garnica acudió a la Reunión anual de la SECOMCYB que se realizó el pasado fin de semana en Cartagena. En esta reunión se abordaron temas sobre cirugía maxilofacial, cirugía ortognática y estética facial. Una gran oportunidad para charlar con compañeros, intercambiar opiniones y aprender.
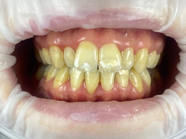
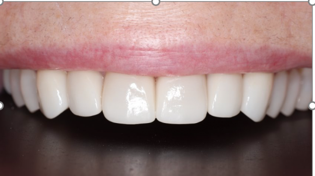
Nuestra paciente acude a nuestra consulta buscando mejorar su sonrisa y reponer las piezas que tiene ausentes. La Dra Elena Granado después de realizar la historia clínica, radiografías, escáner extraoral e intraoral decide que el mejor plan de tratamiento es realizar una rehabilitación estética adhesiva con técnica mínimamente invasiva y colocar implantes en las…
En Policlínica Bucodental ofrecemos tratamientos punteros y de calidad, para ello todo el personal está en continua formación. La Dra.Elena Granado y el Dr.Agustín Martínez acudieron a Málaga para realizar y aprender un nuevo sistema de carillas de porcelana, que ofrecen mayor estética y mayor rapidez en el tratamiento, solo se necesita una sesión…

Para ofrecer las mejores experiencias, utilizamos tecnologías como las cookies para almacenar y/o acceder a la información del dispositivo. El consentimiento de estas tecnologías nos permitirá procesar datos como el comportamiento de navegación o las identificaciones únicas en este sitio.