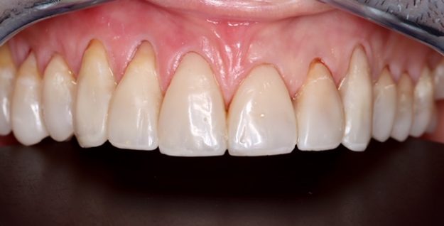
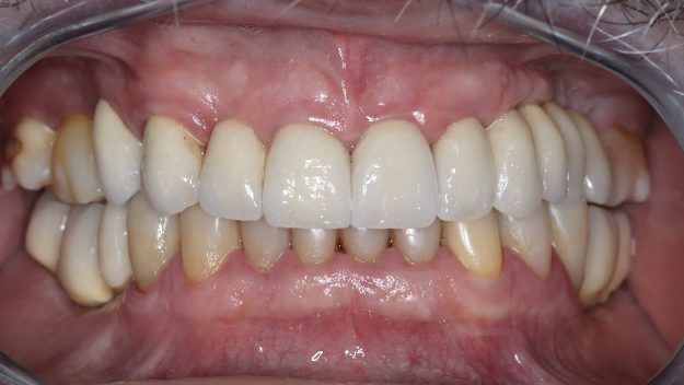
Rehabilitación integral compleja

Paciente de 56 años con grandes destrucciones dentarías y ausencia de piezas. El Dr. Ramón Susín realizó un tratamiento completo en diferentes fases: En primer lugar se colocaron implantes en las zonas ausentes de piezas dentarías, con apoyo de PRGF (plasma rico en factores de crecimiento). Posteriormente se realizaron reconstrucciones adhesivas en las piezas remanentes,…

BTI Day 2019

Como cada año, el equipo de Policlínica Bucodental hemos ido al BTI Day, en este caso en Madrid. Aquí hemos asistido a todas las novedades de nuestra marca principal de implantes. Cada año nos proponen avances en el sector. Este año se añade a la familia de implantes el nuevo “Core”, capaz de utilizarse en…

Rehabilitación Estética Adhesiva

Paciente de 42 años con grandes desgastes palatinos de tipo químico y fracturas de bordes incisales, propias del bruxismo. El Dr. Ramón Susín comenzó haciendo un estudio estético inicial con fotos, modelos de escayola y un encerado diagnóstico, que será el que nos guíe para la rehabilitación final. Sin ni siquiera tallar los dientes y…

Curso de manejo de clínicas dentales

El día 21 de Septiembre acudimos a Madrid para realizar un curso en gestión de clínicas dentales, coaching y manejo de personal. El objetivo es mantenerse dentro de la excelencia en la carrera actual que tenemos las clínicas dentales, siempre dando un servicio exquisito y manteniendo la profesionalidad y los valores humanos. Nuestro ponente fue…

Rehabilitación adhesiva de composite

El Paciente de 58 años de edad acude a la clínica con grandes desgastes dentales. Se decide hacer un tratamiento rehabilitador adhesivo. Se pone en marcha el protocolo, empezando por el estudio salivar, hábitos alimenticios, estudio de apnea del sueño, evaluación de algún problema digestivo; para continuar con fotos y modelos para estudio y programación…

Curso Francesca Vailati

El Dr. Martínez acudió en Barcelona en el mes de marzo para el segundo y definitivo módulo de rehabilitación adhesiva de la Dra. Francesca Vailati. Aquí terminó de adquirir todos los conceptos para el desarrollo de la técnica mínimamente invasiva que ella promueve. Este tipo de tratamientos los realizamos en la consulta desde hace varios…