Carillas de Composite

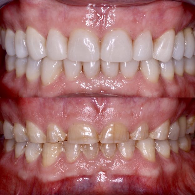
La Paciente acude a la consulta porque quiere mejorar su sonrisa. No quiere hacerse ortodoncia y por motivos económicos se decide hacer carillas de composite. En la primera cita se tomaron fotos y modelos para estudio del caso, en una segunda se hizo un mock-up o simulación estética, que la paciente aceptó y en la…

Rehabilitación Completa Adhesiva Mínimamente Invasiva

Paciente de 53 años con grandes erosiones químicas y desgastes mecánicos que se somete a rehabilitación adhesiva con composite. Realizamos encerados diagnósticos y lo trasladamos con composite a las piezas dentales sin prácticamente tocarlas. Conseguimos recuperar la función y la estética con pocas visitas. Posteriormente colocaremos una férula de bruxismo de uso nocturno de protección…