Rehabilitación completa sobre implantes

Paciente de 51 años acudió a la consulta con policaries generalizada de todas las piezas. Se planificó un tratamiento rehabilitador completo con implantes. Se colocaron 7 implantes superiores y 6 inferiores. Durante la osteointegración de los implantes se mantuvieron algunas de sus piezas para soportar unos puentes provisionales de larga duración para que el paciente…

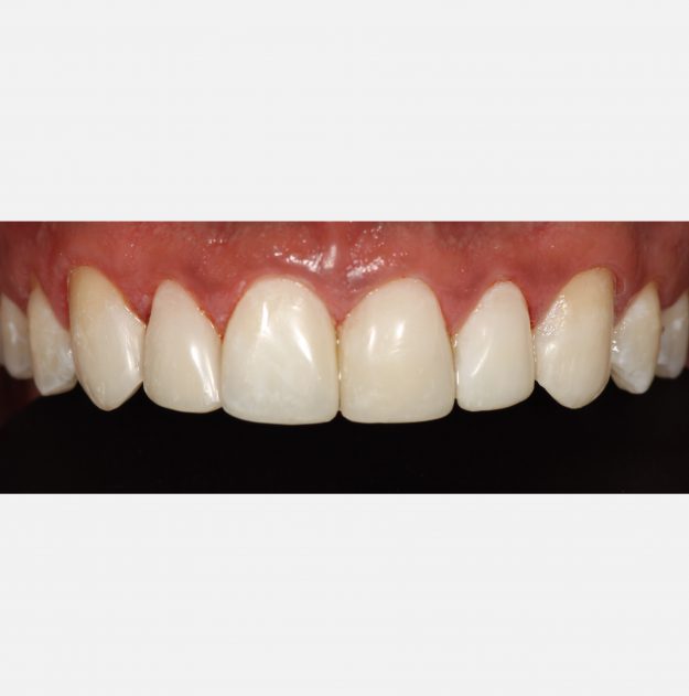
Estética dental

Paciente de 28 años se sometió a tratamiento de estética dental con un blanqueamiento externo y posteriormente con carillas de composite. Se usaron técnicas mínimamente invasivas. Sólo se necesitan dos citas y unas 3 horas de trabajo para este tratamiento, a parte del tiempo que conlleva en casa el blanqueamiento externo (unos 15 días). Este…