CURSO DRA. FRANCESCA VAILATI

El fin de semana del 13 de abril nuestro compañero, el Dr. Martínez, asistió en el MIT de Barcelona al curso de rehabilitación mínimamente invasiva de dos días de la Dra. Francesca Vailati, un referente a nivel mundial. Su experiencia fue muy gratificante y gracias al flujo de trabajo que llevamos en la consulta vamos…

EXPODENTAL 2018 Madrid

El día 17 de Marzo acudieron a la Expodental de Madrid los doctores Plaza, Sánchez-Garnica y Susín para ver las últimas novedades en el sector. Cada dos años se hace este evento para que profesionales, auxiliares y técnicos puedan mejorar su consulta, enterarse de todas las novedades y compartir de paso buenos recuerdos con amigos…

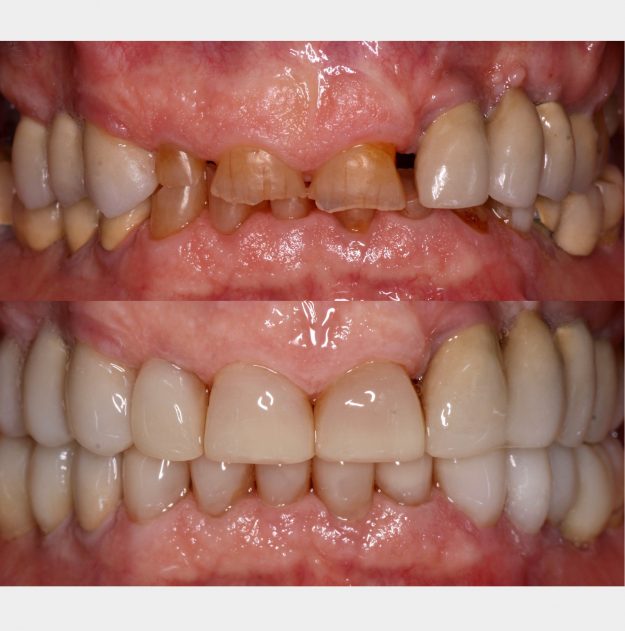
Rehabilitación Global Avanzada

Paciente de 79 años acude a la consulta con gran destrucción dentaría y es portador de prótesis fija en zonas posteriores. Debido a la complejidad de remover todas sus prótesis a su edad y no dañar los pilares dentales se optó por hacer una rehabilitación mínimamente invasiva con composite. Los puentes suyos se mantuvieron en…

REUNIÓN DMG ENERO 2018′

El día 27 de enero tuvo lugar en Madrid la primera reunión DMG del año 2018. En ella se hablaron cosas que incluyen a la gran parte de profesionales, como las nuevas regulaciones de la ley de protección de datos. También hubo lugar para que dieran algunos pequeños consejos que vienen bien siempre en una…

Ortodoncia y Cirugía Ortognática

Diego es un paciente de 25 años que acude a nuestra consulta para buscar solución a su problema dental y facial. No le gusta su estética facial ,su mandíbula prominente ni su sonrisa y tiene muchos problemas para masticar ya que tiene una mordida cruzada anterior. Tras una visita conjunta del cirujano maxilofacial ( Dr.…